Deep infiltrating endometriosis (DIE), complex multidisciplinary interventions under the coordination of a surgeon super-specialized in endometriosis
Deep infiltrating endometriosis (DIE) is defined histopathologically as the infiltration of endometriotic implants more than 5 mm below the peritoneal surface. Deep infiltrating bowel endometriosis is the terminology used when endometriotic implants invade the rectum or sigmoid (DIE). When endometriosis implants reach the bladder, we refer to deep infiltrating bladder endometriosis. When the lesions invade the parameters, occasionally infiltrating the ureteral wall, we speak of parametrial deep infiltrating endometriosis. If the lesions spread, the lumbosacral plexus nerve threads may be affected by this type of endometriosis.
As the prevalence of the pathology among patients increases, as centers dedicated to this pathology become more specialized and as diagnostic tools advance, it is now possible to diagnose complex deep infiltrative endometriosis with greater accuracy in terms of the location, size and extension of endometriosis implants.
The correct staging of endometriosis lesions – the first step in planning surgery
A widely accepted classification in endometriosis is the #ENZIAN classification, which provides staging of endometriotic implants according to the extent to the peritoneum, ovaries, fallopian tubes, parametrium, rectovaginal septum, bowel, bladder and other segments of the digestive tract. The staging performs a very clear mapping of the lesions.
Imagistically, #ENZIAN classification can provide a mapping of the endometriosis lesions, which provides a predictive method in a therapeutic or surgical decision. In addition to location, each lesion receives a numerical staging, depending on the size of the implants: Stage 1 – lesions below 1 cm, Stage 2 – lesions between 1-3 cm, Stage 3 – lesions above 3 cm. Depending on the diagnostic tool used, memo technical formulas such as: U – ultrasound, I – IRM (= MRI) and S – surgery, make the classification very useful to practitioners.
The surgeon can use this classification to gather information about the size, location, and extent of lesions, information that is helpful and predictive not only during the surgery but also as the post-operative case develops.
Useful questions in the clinical examination of the patient with deep infiltrating endometriosis
Can the symptoms be correlated with the stage of the disease?
The symptomatology the patient describes does not always correlate with the mapping and extent of the lesions. There may be minimal lesions with noisy symptomatology. Conversely, there may be large lesions with manageable symptoms. It depends very much on the pain tolerance each patient has.
Is there a strong correlation between the patient’s clinical assessment and the staging of the disease, the size, the extent of the endometriosis implants?
It is usually difficult to precisely correlate symptoms with clinical presentation. In addition to the lesions, endometriosis causes chronic inflammation and makes the organs “stick” to one another, which can manifest or not as various clinical signs. Possessing a “trained eye” and clinical sense, a specialist in this pathology can establish a link between the patient’s symptoms and his findings from the clinical examination and imaging.
Can the symptoms be correlated with the stage of the disease?
The symptomatology the patient describes does not always correlate with the mapping and extent of the lesions. There may be minimal lesions with noisy symptomatology. Conversely, there may be large lesions with manageable symptoms. It depends very much on the pain tolerance each patient has.
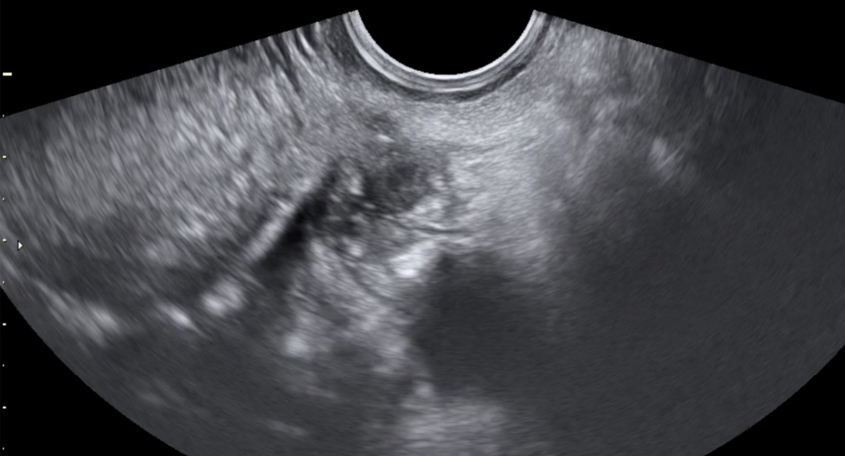
Imaging examination of deep infiltrating endometriosis provides prediction by mapping lesions

Transvaginal ultrasound.
Transvaginal ultrasonography is the imaging technique of choice for endometriosis; it is easily accessible, non-invasive and approachable, providing the specialist with a plethora of information. It also allows the clinician to perform a bimanual palpation (to press on the abdomen and see how certain organs mobilise in relation to other organs and the transducer). Ultrasound provides a lot of information if the examiner knows the pathology and knows how to integrate it into the clinical picture.
When is MRI with endometriosis protocol indicated?
In the case of deep-infiltrative endometriosis (DIE), especially when the surgeon suspects the invasion of certain organs or nerve threads of the lumbosacral plexus, he/she may recommend MRI with endometriosis protocol. The examination has a predictive role in surgery: the surgeon needs to know when the sciatic nerve is invaded, the method provides guidance as to excision surgery (how much to excise, how much to leave in place). The surgeon’s objective is a correct and complete excision, which will bring benefits and improve the quality of life and by no means invalidate the patient. An experienced surgeon knows in the case of lumbosacral plexus endometriosis, for example, which nodule goes to the lumbosacral roots (especially large and parametrial nodules). The role of an MRI investigation is to bring complementary data to selected complex cases.
Limitations and challenges in complex endometriosis surgery. One of the principles in surgery: when you suture tissue, it should not be in tension.
- Bowel endometriosis. One of the principles of surgery: when suturing tissue, it should not be in tension. Protective ileostomy – reality versus myth?
A protective ileostomy is typically performed with the intention of preventing a potential fistula. What is the protective ileostomy? During surgery, the surgeon sutures the bowel “end-to-end”, and he removes the bowel above the suture so that it can heal because he believes the suture will fail. It is a false impression, a myth, that this will protect you from fistula. If the local conditions of the intestinal anastomosis predispose to a fistula occurring, it does not mean that we have protected against a fistula by performing an ileostomy. If a fistula develops, you must perform an ileostomy instead. There is no need to worry about a fistula if you have two top and bottom bowel ends that are both healthy, vascular, and not under tension.
In cases with multiple bowel resections- small bowel and large bowel, even when a hysterectomy is performed or the vagina is opened due to the presence of a vaginal endometriosis lesion, a protective ileostomy is not required and in no case for fear of avoiding recto-vaginal fistula. The fistula depends on the technique, but also on the patient’s tissue, especially its vascularization. In young patients with a well-vascularized bowel, the risk of the fistula is very low.
- Bladder endometriosis. A “friendly” organ that can “complicate” itself
The bladder is a very “friendly” organ, a large, very elastic organ that increases its volume. Nodules on the bladder are easily excised, sutures heal quickly and the urinary catheter is removed within 10 days of surgery. Extensive ureteral lesions can require ureter reimplantation, making them more challenging. - Complex operations in the retroperitoneal space – a surgery that surgeons are afraid of, because the retroperitoneal space is a virtually unknown space. A territory of “traps”, intricate with large vessels, nerves, it does not seem to be a comfort zone for an inexperienced surgeon. The common iliac artery, external iliac artery, internal iliac artery, which irrigates all pelvic organs, ureteral, and nerve threads of the lumbosacral plexus are all important anatomical landmarks in the pelvis that can be reached if the surgeon specializing in deeply infiltrative endometriosis sees beyond the boundaries and the opportunities. If this space of the unknown becomes a space of knowledge, the surgeon will correctly map and protect important structures.
You never start where the disease is. In surgery there is the following principle: go from healthy tissue to diseased tissue. From the known to the unknown.
- Lumbosacral plexus endometriosis. The internal iliac vein and its tributary vessels are identified when the lesion reaches a network of veins, which are anatomically very variable. The approach is descending, and the vessels are clipped from top to bottom. This allows you to reach the node, where there is a risk of massive bleeding damaging the nerve structures, and then perform a precise and safe excision of the lesion. This is the only way to perform a clean, precise dissection that will allow you to see the blood vessels and nerve structures clearly and determine how much tissue needs to be removed and where the node’s boundaries lie.
Excisional surgery in deep infiltrating endometriosis/DIE aims at the radical goal, the correct and complete excision of endometriosis lesions.
- Not very common cases of deep infiltrating endometriosis surgery that involved diaphragm, appendix, cecum, small intestine, successfully performed by Endomedicare Academy multidisciplinary team:




In deeply infiltrative endometriosis, surgery has as its primary goal the correct and complete excision of endometriosis lesions, from the very first surgery, which is quite similar to the principle of cancer surgery.
In the complex cases presented – deeply infiltrative bowel endometriosis, deeply infiltrative bladder endometriosis, lumbosacral plexus endometriosis, deeply infiltrative ureteral endometriosis – surgery is performed on the intra- and extraperitoneal spaces of the pelvis, relating to these areas.
When the extension of lesions affects bilaterally the splanchnic nerves or the roots of the lumbosacral plexus, the surgeon must act with discernment between excising and leaving the lesions in place, so as not to injure the essential nerve threads.
Deeply infiltrative endometriosis is best treated by excisional, radical territory excision, but being also in harmony with the patient’s goal of preserving the ovarian reserve and reproductive potential (preservation of ovaries, fallopian tubes).
The multidisciplinary surgical team’s involvement in these complex interventions is crucial, working under the coordination of a surgeon who specializes in excision surgery for deep infiltrative endometriosis. This is due to the fact that endometriosis has so many facets, potential risks and complications for the patients’ quality of life and reproductive future.




